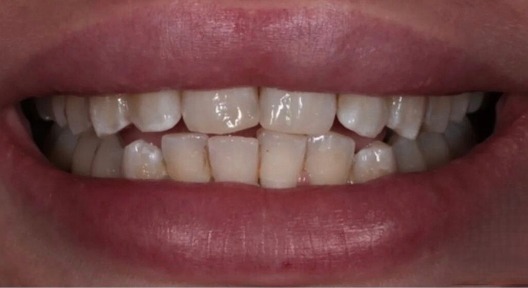
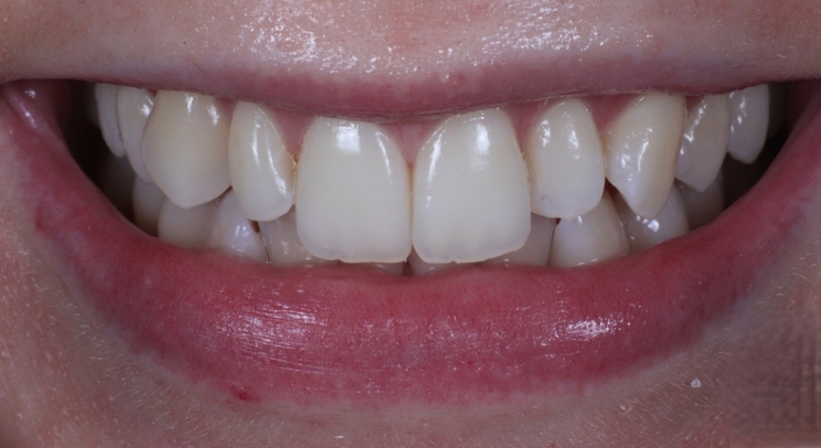
Cosmetic Bonding

Case 1

Would you like to achieve a similar result for your smile?

READ MORE

Cosmetic Bonding

Case 2

Would you like to achieve a similar result for your smile?

READ MORE

Invisalign®

Case 3

Would you like to achieve a similar result for your smile?

READ MORE

Cosmetic Bonding

Case 4

Would you like to achieve a similar result for your smile?

READ MORE

Invisalign®

Case 5

Would you like to achieve a similar result for your smile?

READ MORE

Invisalign®, Teeth Whitening

Case 6

Would you like to achieve a similar result for your smile?

READ MORE

We love our patients

Heralds Way Dental Review Image
honoer left brush stroke pink gradient plain

Get in touch

If you have any further questions or would like to become a patient you can contact us.

Contact us
Google Rating
4.9
Google Rating
Google Widget

instagram instagram Instagram

Want to stay updated on our latest news, products, and events? Follow us on Instagram. Don't miss out on all the fun and exciting content we have in store for you!

FOLLOW US ON INSTAGRAM

Opening Hours

MONDAY
08:30 - 17:30
TUESDAY
08:30 - 17:30
WEDNESDAY
08:30 - 17:30
THURSDAY
09:00 - 17:30
FRIDAY
09:00 - 17:30
SATURDAY
By Appointment

Location